Когда симптомы не дают четкого ответа, что беспокоит – боль в груди, одышка или длительный дискомфорт в животе, – лучший способ быстро выяснить причину – компьютерная томография (КТ).
КТ органов грудной и брюшной полости в Запорожье в ЦКТ «Премиум» позволяет за 20 минут получить подробные снимки внутренних органов и увидеть изменения, которые невозможно оценить при обычном осмотре или УЗИ.
Это неинвазивное исследование, дающее точную информацию о состоянии легких, печени, почек, поджелудочной железы, селезенки и других органов.
Врач может рекомендовать КТ органов грудной и брюшной полости, если необходимо быстро установить диагноз или уточнить результаты других методов.
Исследование показано в случаях:

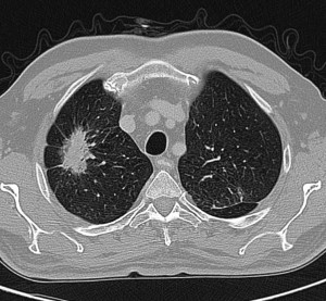
КТ грудной полости позволяет выявить воспалительные, сосудистые или опухолевые изменения в легких и средостении. На изображениях отчетливо видна структура легочной ткани, бронхов, лимфатических узлов и сосудов.
Исследование помогает диагностировать:
КТ брюшной полости показывает состояние печени, почек, поджелудочной железы, селезенки и кишечника. С помощью томографии можно найти:
Благодаря высокому разрешению аппарата КТ в «Премиуме» врач получает точную, трехмерную картину, которая помогает принять решение по лечению.
КТ органов грудной и брюшной полости – быстрое обследование, которое длится всего 15–20 минут. Пациент находится на столе томографа, который плавно перемещается через аппарат.
Во время исследования нужно лежать неподвижно, а иногда на несколько секунд задержать дыхание.
Если производится КТ без контраста, специальная подготовка не требуется.
При исследовании с контрастом следует воздержаться от еды 4-6 часов до процедуры. Контраст вводится внутривенно под контролем врача – это безопасно и не вызывает боли.
По результатам обследования пациент получает снимки с визуализацией на компакт-диске и распечатанное заключение. Также они доступны в личном кабинете пациента онлайн-сервиса.

Контрастное вещество применяется для улучшения видимости сосудов, органов и опухолевых образований.
КТ с контрастом назначают, если нужно:
КТ органов грудной и брюшной полости в Запорожье в ЦКТ «Премиум» – это точная диагностика, которая помогает выявить даже минимальные изменения во внутренних органах и предотвратить осложнения.
Регулярные профилактические обследования позволяют своевременно выявлять болезни и заботиться о здоровье с уверенностью.